داشتن لبخندی درخشان و جذاب همواره به عنوان یکی از دغدغه های اصلی تمامی مردم به شمار رفته است. افراد بسیار زیادی به واسطه هزینه های کلان مربوط به لمینت، از اجرای آن منصرف شده اند. با این حال جای نگرانی نیست چرا که حضور مجموعه های معتبر در شهر تهران باعث شده تا امکان اجرای لمینت دندان اقساطی در تهران فراهم باشد. در این حالت فشار مالی وارد شده به افراد به کمترین مقدار ممکن می رسد چرا که شرایط پرداخت انعطاف بسیار بیشتری دارد. با این حال برای برخورداری از لمینت دندان اقساطی در تهران، نیاز است تا قبل از هر چیزی سطح آگاهی خود را در رابطه با این روش درمانی و شرایط پرداخت هزینه لمینت افزایش دهید. این مسئله باعث می شود تا بتوانید کیفیت درمان خود را افزایش قابل توجهی دهید.
فهرست مطالب
- چه افرادی نیاز به لمینت دندان دارند؟
- علت افزایش متقاضیان لمینت دندان اقساطی در تهران
- ارائه خدمات لمینت دندان اقساطی در تهران توسط مجموعه های سرشناس
- آیا لمینت اقساطی کیفیت پایینتری دارد؟
- مراحل انجام لمینت در کلینیک های شهر تهران
- شرایط لمینت دندان اقساطی در تهران
چه افرادی نیاز به لمینت دندان دارند؟
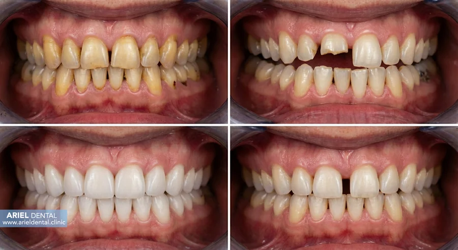
لمینت دندان به عنوان یکی از روش های زیبایی در راستای سفیدتر کردن و افزایش نظم میان دندان ها شناخته می شود. دارای لایه بسیار نازکی بوده و به واسطه ویژگی های منحصر به فردی همچون مقاومت بالا و طول عمر مناسب، از سوی افراد زیادی مورد استفاده قرار می گیرد. تمامی مسائل ذکر شده باعث شده اند تا توجه مردم به لمینت دندان اقساطی در تهران جلب شود. هزینه بالای لمینت نسبت به سایر روش ها، به عنوان اصلی ترین دلیل تمایل مردم به این روش محسوب می شود. معمولا افرادی که از مشکلات لب پریدگی، فاصله بین دندان ها و بد فرمی دندان ها برخوردار هستند، به عنوان واجدین شرایط برای استفاده از این روش به شمار می روند.

علت افزایش متقاضیان لمینت دندان اقساطی در تهران
همه ما به خوبی می دانیم که شرایط اقتصادی در وضعیت نامطلوبی قرار گرفته است. همین موضوع باعث شده تا میل مردم لمینت دندان اقساطی در تهران افزایش بیشتری پیدا کند. در واقع ساکنین شهر تهران، فشار مالی بسیار بیشتری را متحمل هستند و به همین دلیل در اغلب اوقات از شرایط لازم برای پرداخت نقدی هزینه لمینت دندان بهره مند نیستند. طبیعتا در چنین حالتی، استفاده از خدمات یک مرجع معتبر، می تواند خیال شما را از بابت برنامه ریزی مالی مناسب راحت کند. در این شرایط می توانید لبخند دلخواه خود را در معتبرترین کلینیک های دندانپزشکی بسازید. در ادامه دیگر دلایل افزایش میل مردم به لمینت دندان اقساطی را بررسی خواهیم کرد.
انجام درمان برای قشرهای گوناگون
لمینت دندان اقساطی در تهران تنها به یک قشر خاص محدود نمی شود. بسیاری از مراکز برای تنوع وسیعی از اقشار جامعه از جمله دانشجویان، زوجین، کارمندان و … خدمات لمینت دندان را به صورت اقساطی در نظر گرفته اند. طبیعتا در این شرایط، رضایت شما از خدمات دریافت شده بیشتر خواهد بود. این موضوع در حالی بوده که برخی از کلینیک های دندانپزشکی، محدودیت هایی را برای ارائه خدمات در نظر گرفته اند.
پرداخت با امکان برنامه ریزی مالی
هنگامی که هزینه لمینت دندان اقساطی در تهران را به صورت قسطی و در بازه های زمانی از قبل مشخص شده بپردازید، شرایط راحت تری را خواهید داشت. در این حالت آرامش شما بیشتر شده و درگیر دغدغه های مالی نخواهید بود. این موضوع بر روی کاهش فشار مالی وارد شده به خانواده های گوناگون نیز تاثیرگذار است.
بسیاری از مراجعین عزیز، علاوه بر شرایط پرداخت، در مورد بازه زمانی انجام این درمان نیز سوال دارند. اینکه بدانید کل فرآیند لمینت دندان چقدر زمان میبرد، به شما کمک میکند تا بتوانید برنامهریزی دقیقتری برای حضور در کلینیک داشته باشید.
ارائه خدمات لمینت دندان اقساطی در تهران توسط مجموعه های سرشناس
یکی از باورهای غلط مردم این مسئله بوده که مراکز ارائه دهنده لمینت دندان اقساطی در تهران، از تجربه و اعتبار کافی برخوردار نیستند. این مسئله در حالی بوده که بسیاری از مجموعه های معتبر و سرشناس، شرایط لازم را برای لمینت دندان اقساطی فراهم کرده اند. در همین راستا شما می توانید ضمن پرداخت اقساطی لمینت دندان، از خدمات بسیار باکیفیتی بهره مند شوید که این موضوع یک حسن بزرگ محسوب می شود.

آیا لمینت اقساطی کیفیت پایینتری دارد؟
برخی از مردم بر این باور هستند که اگر به دریافت خدمات لمینت دندان اقساطی در تهران بپردازند، کیفیت درمان آن ها کاهش می یابد. با این حال اگر برای اجرای لمینت دندان اقساطی به سراغ کلینیک های دارای مجوز بروید و به انعقاد قراردادهای شفاف بپردازید، هیچ مشکلی مانع شما نخواهد شد. حتما از رزومه واقعی دندانپزشکان و همچنین نمونه کارهای آن مجموعه مطمئن شوید.
مراحل انجام لمینت در کلینیک های شهر تهران
علاوه بر بررسی نحوه پرداخت هزینه لمینت دندان اقساطی در تهران، نیاز است تا شرایط اجرای این روش درمانی را نیز مورد بررسی قرار دهید. در ادامه هر کدام از مراحل را به صورت مختصر بررسی خواهیم کرد.
- در مرحله اول، دندانپزشک به ارزیابی وضعیت دهان و دندان بیمار پرداخته و سلامت لثه های فرد را به صورت تخصصی بررسی می کند. در صورت وجود هر گونه مشکل برای اجرای لمینت، دندانپزشک نظر خود را اعلام خواهد کرد.
- پس از دریافت تاییدیه نظر دندانپزشک در مرحله اول، نوبت به مشاوره های تخصصی مبنی بر انتخاب لمینت می رسد. لمینت انتخاب شده باید دقیقا مطابق با سلیقه و انتظارات شما باشد. در این شرایط رضایت شما افزایش بیشتری خواهد یافت.
- در مرحله سوم، دندانپزشک به سراغ طراحی تخصصی طرح لبخند بیماران می رود. در این شرایط معمولا از روش لمینت دیجیتال برای قالب گیری و اجرای لمینت استفاده می شود. طبیعتا نتیجه حاصل شده در این حالت، مطابق با علاقه مندی های افراد خواهد بود.
- در مرحله آخر، دندان در لابراتوار آماده شده و برای اجرای نهایی در اختیار دندانپزشک قرار می گیرد. لازم به ذکر است که دندانپزشک بر اساس شرایط بیمار، ممکن است به سراغ تراش دادن مینای دندان نیز برود. در نهایت لمینت موردنظر به وسیله چسب و ابزارهای مخصوص در این زمینه، به نصب لمینت می پردازد.
شرایط لمینت دندان اقساطی در تهران
مجموعه های معتبر در شهر تهران، تلاش خود را کرده اند تا بهترین شرایط را برای اجرای لمینت دندان اقساطی در تهران تعیین کنند. طبق این شرایط، تمامی متقاضیان می توانند لمینت کامپوزیتی و لمینت سرامیکی استفاده کرده و به تسویه هزینه نهایی طی بازه زمانی 3 تا 12 ماهه بپردازند. لازم به ذکر است که مبلغی به عنوان پیش پرداخت از سوی مجموعه های گوناگون دریافت می شود. بسیاری از افراد می توانند به وسیله چک یا سفته نیز به تسویه هزینه لمینت دندان اقساطی در تهران بپردازند. با این وجود، بهتر است قبل از انعقاد قرارداد، حتما جزئیات درون آن را مورد بررسی قرار دهید.

جمع بندی
اکنون اطلاعات کاملی را در رابطه با شرایط لمینت دندان اقساطی در تهران دارید. همان طور که متوجه شدید، مجموعه های مختلفی در شهر تهران به ارائه خدمات مربوطه در این زمینه می پردازند. آریل دنتال به عنوان یکی از کلینیک های دندانپزشکی معتبر در شهر تهران شناخته می شود. شما می توانید ضمن برخورداری از خدمات اقساطی در این مجموعه، به اجرای لمینت با بالاترین سطوح کیفی بپردازید. پیشنهاد می کنیم جهت کسب اطلاعات بیشتر در این زمینه، با مشاورین آریل دنتال تماس بگیرید.
سوالات متداول
این خدمت به شما امکان میدهد هزینه لمینت را به صورت مرحلهای و در بازههای زمانی مشخص پرداخت کنید تا فشار مالی کاهش یابد.
خیر. اگر لمینت را از کلینیکهای معتبر و دارای مجوز انجام دهید، کیفیت درمان همانند پرداخت نقدی خواهد بود.
این روش برای تمامی قشرهای جامعه از جمله دانشجویان، کارمندان و زوجین مناسب است.
میتوانید با تماس با کلینیکهای معتبر مثل آریل دنتال، مشاوره رایگان دریافت کرده و شرایط پرداخت اقساطی را بررسی کنید.