لبخند زیبا و هماهنگ با چهره، اولین چیزی است که در ارتباطات اجتماعی جلب توجه می کند. بسیاری از افراد برای اصلاح طرح لبخند خود به دنبال راه حل هایی سریع، کم هزینه و غیرتهاجمی هستند. در این میان، لمینت متحرک دندان یا همان«اسنپ آن اسمایل»، به عنوان گزینه ای موقت و بدون نیاز به تراش دندان مطرح شده است. تبلیغات گسترده در فضای مجازی و شبکه های اجتماعی، این روش را ساده، ارزان و بدون عارضه نشان می دهد؛ اما آیا واقعاً همه چیز به همین سادگی است؟ در این مقاله قصد داریم درباره معایب لمینت متحرک دندان صحبت کنیم و ۵ نکته مهمی را بررسی نماییم که پیش از تصمیم گیری باید بدانید.
فهرست مطالب
- لمینت متحرک دندان چیست؟
- مهم ترین معایب لمینت متحرک دندان
- 1-مشکلات بهداشتی و افزایش ریسک بیماری های لثه
- ۲- اختلال در تکلم و عملکرد جویدن
- ۳-ظاهر غیرطبیعی و محدودیت در شخصی سازی
- ۴-دوام محدود و احتمال تغییر رنگ
- ۵-عدم درمان ریشه ای مشکلات دندان
لمینت متحرک دندان چیست؟
لمینت متحرک دندان یا روکش فوری، یک پوسته نازک از جنس رزین یا مواد ترموپلاستیک است که روی دندان ها قرار می گیرد. این روکش یکپارچه، بدون چسب دائمی یا تراش مینای دندان، ظاهر لبخند را تغییر می دهد. برخلاف لمینت های سرامیکی ثابت که توسط دندانپزشک و پس از آماده سازی دقیق دندان نصب می شوند، این نوع لمینت قابلیت جابجایی، برداشتن و گذاشتن توسط خود فرد را دارد.
اگرچه این روش می تواند برای برخی افراد یک راهکار موقتی باشد، اما شناخت معایب لمینت متحرک دندان، برای جلوگیری از آسیب های احتمالی کاملاً ضروری است.
مهم ترین معایب لمینت متحرک دندان
لمینت متحرک دندان اغلب به عنوان روشی موقتی و مقرون به صرفه برای بهبود ظاهر لبخند معرفی می شود. با این حال، قبل از انتخاب این روش بهتر است با محدودیت ها و معایب احتمالی آن آشنا شوید. آگاهی از نکات زیر به شما کمک می کند تصمیمی آگاهانه تر بگیرید:

1-مشکلات بهداشتی و افزایش ریسک بیماری های لثه
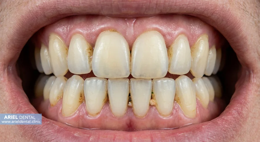
یکی از مهم ترین معایب لمینت متحرک دندان، تاثیر آن بر سلامت دهان و لثه است. از نظر تخصصی، هر وسیله ای که روی دندان قرار بگیرد و تماس مستقیم با لثه داشته باشد، می تواند محیطی مناسب برای تجمع پلاک میکروبی ایجاد نماید. ممکن است این پرسش در ذهن شما شکل بگیرد که چرا این اتفاق می افتد؟ در پاسخ می توان به این موارد اشاره کرد:
- فاصله میکروسکوپی بین لمینت و دندان طبیعی
- کاهش جریان طبیعی بزاق در سطح دندان
- دشواری در تمیز کردن کامل دندان ها
- باقی ماندن مواد غذایی در زیر پوسته
این شرایط می تواند منجر به التهاب لثه (ژنژیویت)، بوی بد دهان، افزایش پوسیدگی دندان و تحلیل لثه در استفاده طولانی مدت شود. برخلاف لمینت های ثابت که به صورت دقیق قالب گیری و باند می شوند، در لمینت متحرک همیشه احتمال وجود فضای خالی وجود دارد. بنابراین، اگر فرد بهداشت دهان را با وسواس و دقت بسیار بالا رعایت نکند، مشکلات پریودنتال دور از انتظار نخواهد بود. در بررسی علمی، هر وسیله متحرک دهانی (مشابه پلاک های ارتودنسی)، نیازمند پروتکل بهداشتی سختگیرانه ای است. موضوعی که اغلب، در تبلیغات این روش نادیده گرفته می شود.
۲- اختلال در تکلم و عملکرد جویدن
یکی دیگر از معایب لمینت متحرک دندان، این است که می تواند بر نحوه صحبت کردن و عملکرد طبیعی دهان تاثیر بگذارد. این پوسته ها به دلیل نیاز به استحکام بیشتر برای نصب و برداشتن مکرر، اغلب ضخامت بالاتری نسبت به لمینت های دائمی دارند. همین موضوع ممکن است باعث تغییر در تلفظ برخی حروف مانند «س، ش، ت و ر» شود. همچنین، ممکن است حس وجود یک جسم خارجی را در دهان ایجاد کند، دقت گاز زدن را کاهش دهد و حتی هنگام جویدن غذاهای سفت، ناراحتی یا دشواری به همراه داشته باشد.
از نظر آناتومی، هر گونه تغییر در ارتفاع عمودی اکلوژن، می تواند تعادل ظریفِ میان عضلات جونده و مفصل فکی گیجگاهی (TMJ) را بر هم بزند. وقتی لمینت متحرک، بدون طراحی دقیق و تطابق صحیح با ساختار دهان ساخته شود، این تغییر ارتفاع می تواند الگوی بسته شدن فک ها را دگرگون کند. در نتیجه، فشار غیرطبیعی به مفصل و عضلات وارد سازد. در چنین شرایطی، فرد ممکن است دچار درد فک، احساس فشار در ناحیه مفصل گیجگاهی ـ فکی یا خستگی عضلات صورت شود.
به همین دلیل، یکی از مهم ترین معایب لمینت متحرک دندان را می توان اختلال در بیومکانیک طبیعی سیستم جونده و نیروی جویدن و بر هم خوردن هماهنگی عملکرد آن دانست.
با در نظر گرفتن این معایب، طبیعی است که بسیاری از افراد به دنبال راهکاری با دوام و طول عمر بیشتر باشند. اما سوال مهمی که در این میان پیش میآید این است که آیا لمینت دندان دائمی است؟ برای یافتن پاسخ دقیق این پرسش و درک بهتر طول عمر لمینتهای ثابت، میتوانید به مقاله دیگر ما مراجعه کنید

۳-ظاهر غیرطبیعی و محدودیت در شخصی سازی
اگرچه تصاویر تبلیغاتی نتایج بسیار ایده آلی را نشان می دهند، اما در واقعیت، همیشه نتیجه نهایی طبیعی و هماهنگ با فرم صورت فرد نیستند. از دلایل رایج این مشکل می توان موارد زیر را نام برد:
- ضخامت بالاتر نسبت به لمینت سرامیکی
- عدم تطابق کامل با رنگ لثه
- لبخند غیرطبیعی
- محدودیت در طراحی آناتومی دندان
در لمینت های ثابت، دندانپزشک فرم، طول، عرض و رنگ هر دندان را به صورت جداگانه طراحی می کند. اما در لمینت متحرک، یک پوسته یکپارچه روی کل قوس دندانی قرار می گیرد که انعطاف طراحی آن محدود است.
یکی دیگر از معایب لمینت متحرک دندان این است که در نور طبیعی ممکن است حالت مصنوعی تری نسبت به لمینت سرامیکی داشته باشد، زیرا شفافیت و بازتاب نور به خوبی منعکس نمی شود.
۴-دوام محدود و احتمال تغییر رنگ
مواد استفاده شده در لمینت های متحرک معمولاً از جنس رزین های آکریلیک یا ترموپلاستیک هستند. این مواد در مقایسه با سرامیک های دندانی مقاومت کمتری در برابر سایش، لکه پذیری، تغییر رنگ و شکستگی دارند. عوامل موثر در تغییر رنگ لمینت های متحرک عبارتند از:
- مصرف قهوه، چای، نوشابه
- سیگار
- رنگدانه های غذایی
- عدم شستشوی صحیح
در نتیجه، یکی دیگر از معایب لمینت متحرک دندان این است که احتمال دارد پس از مدت کوتاهی شفافیت اولیه خود را از دست بدهد و ظاهر آن کدر شود. به طور کلی، رزین ها دارای ساختار متخلخل تری نسبت به سرامیک هستند و همین موضوع باعث جذب بیشتر رنگدانه ها می شود. بنابراین اگر به دنبال راه حلی با ماندگاری طولانی هستید، باید این نکته را جدی بگیرید.
۵-عدم درمان ریشه ای مشکلات دندان
یکی از مهم ترین نکاتی که پیش از انتخاب این روش باید بدانید این است که لمینت متحرک صرفاً یک پوشش ظاهری محسوب می شود و هیچ مشکلی را درمان نمی کند. در واقع، اگر فرد دارای پوسیدگی دندان، بیماری لثه، نامرتبی شدید دندان ها، مشکلات بایت (مال اکلوژن) و دندان های شکسته یا عفونی باشد؛ لمینت متحرک تنها ظاهر مشکل را پنهان میکند، اما روند بیماری ادامه خواهد داشت.
این موضوع یکی از اصلی ترین معایب لمینت متحرک دندان محسوب می شود، زیرا ممکن است فرد را از درمان اصلی دور کند. در مواردی حتی دیده شده که استفاده طولانی مدت از آن، باعث تشدید پوسیدگی های پنهان شده؛ چرا که فرد تصور می کند مشکل برطرف شده است.

معایب لمینت متحرک دندان: آنچه باید بدانید
لمینت متحرک دندان، سریع، ارزان و بدون درد به نظر می رسد. اما بررسی های تخصصی نشان می دهند که این روش معایبی از جمله مشکلات بهداشتی، اختلال در تکلم و جویدن، ظاهر غیرطبیعی، دوام محدود و عدم درمان ریشه ای مشکلات دهان را به دنبال دارد. انتخاب این روش باید با آگاهی کامل و مشاوره با دندانپزشک انجام شود.
اگر به دنبال اصلاح اصولی طرح لبخند با نتیجه ای طبیعی و ماندگار هستید، گزینه هایی مانند لمینت های سرامیکی پیشرفته یا روش های نوین مانند لمینت دیجیتال که با طراحی سه بعدی و اسکن دقیق انجام می شود، می توانند انتخاب های بهتر و قابل اعتمادتری باشند. در نهایت، زیبایی واقعی زمانی ارزشمند است که در کنار آن سلامت دهان و دندان نیز حفظ شود. تصمیم آگاهانه امروز، از مشکلات جدی فردا جلوگیری خواهد کرد.
سوالات متداول
یک پوسته نازک از جنس رزین یا مواد ترموپلاستیک است که به صورت موقت روی دندانهای طبیعی قرار میگیرد و توسط خود فرد قابل برداشتن و گذاشتن است.
ایجاد مشکلات بهداشتی و افزایش ریسک بیماریهای لثه و پوسیدگی دندان به دلیل تجمع پلاک میکروبی در زیر آن.
به دلیل وجود فاصله میکروسکوپی بین لمینت و دندان، کاهش جریان طبیعی بزاق و دشواری در تمیز کردن کامل، محیطی برای رشد باکتریها فراهم شده و منجر به التهاب لثه (ژنژیویت) میشود.
این لمینتها دوام محدودی دارند، زیرا از رزین ساخته شدهاند که در برابر سایش، شکستگی و تغییر رنگ مقاومت کمتری نسبت به سرامیک دارد.