عفونت ایمپلنت دندان، یکی از شایعترین عوارض پس از جراحیهای ایمپلنت دیجیتال است که در صورت عدم درمان به موقع میتواند منجر به تحلیل استخوان، از دست رفتن ایمپلنت و مشکلات جدی سلامت دهان شود. یافتن بهترین آنتی بیوتیک برای عفونت ایمپلنت، نقش کلیدی در کنترل سریع التهاب، کاهش درد و جلوگیری از پیشرفت عفونت دارد و انتخاب درست آن میتواند روند بهبودی را بهطور چشمگیری تسریع کند. در این مقاله، با بررسی شواهد علمی، مؤثرترین آنتیبیوتیکها برای درمان عفونت حاصل از ایمپلنت دندان معرفی خواهد شد.
علل شایع عفونت ایمپلنت دندان
لازمهی انتخاب بهترین آنتی بیوتیک برای عفونت ایمپلنت، تشخیص و شناسایی دلایل زمینهای ایجاد عفونت است. عفونتهای ایمپلنت، معمولاً نتیجه تعامل پیچیدهای از عوامل موضعی، سیستمیک و محیطی هستند که میتوانند منجر به آسیب بافت نرم و استخوان اطراف ایمپلنت شوند. از شایعترین علل بروز این عفونت، میتوان به بهداشت ناکافی دهان و دندان اشاره کرد. تجمع پلاک میکروبی و رسوبات غذایی در اطراف ایمپلنت، رشد باکتریها را تسهیل کرده و باعث التهاب لثه و بافتهای استخوانی میشود. از طرف دیگر، بیماریهایی مانند دیابت، اختلالات ایمنی و مصرف داروهای خاص میتوانند پاسخ ایمنی بدن را کاهش و احتمال ایجاد عفونت را افزایش دهند. همچنین، سیگار و دخانیات با کاهش جریان خون موضعی و اختلال در ترمیم بافتها، ریسک عفونت را بهطور چشمگیری افزایش میدهند.
علاوه بر موارد ذکر شده، مشکلات تکنیکی و جراحی نامناسب نیز از علل مهم عفونت ایمپلنت دندان به شمار میروند. استفاده از پروتزهای موقتی غیر استاندارد، فشار بیش از حد روی ایمپلنت و رعایت نکردن تکنیکهای استریل در طول جراحی، زمینه را برای ورود باکتریها و ایجاد عفونت فراهم میکند. حتی عدم استفاده از بهترین برندهای ایمپلنت دندان و طراحی نامناسب سطح آن نیز میتواند بر چسبندگی باکتریها تأثیر بگذارد و احتمال بروز التهاب موضعی را افزایش دهد.
اهمیت درمان سریع عفونت ایمپلنت دندان
تشخیص دیرهنگام عفونتها، میتواند باعث تحلیل استخوان اطراف ایمپلنت، از دست رفتن ثبات پروتز و گسترش التهاب به بافتهای مجاور شود. هرچه درمان سریعتر آغاز گردد، احتمال کنترل مؤثر باکتریها و پیشگیری از آسیبهای دائمی بیشتر خواهد بود و نیاز به جراحی مجدد یا خارج کردن ایمپلنت به حداقل میرسد. به طور کلی، عفونتهای درمان نشده میتوانند موجب درد، تورم، حساسیت موضعی و حتی انتشار باکتریها به جریان خون شوند و خطر عوارض سیستمیک را افزایش دهند. از سوی دیگر، شروع سریع درمان و مصرف آنتیبیوتیک مناسب، باعث کاهش التهاب، کنترل رشد باکتری و تسریع بهبودی میشود. انتخاب بهترین آنتی بیوتیک برای عفونت ایمپلنت باید بر اساس شدت عفونت، نوع باکتریهای شناساییشده و وضعیت سیستمیک بیمار صورت گیرد.

فراموش نکنید که آنتیبیوتیکها تنها حکم «آتشنشان» را دارند و آتش را خاموش میکنند. برای اینکه درمان دارویی شما واقعاً مؤثر باشد و مهمتر از آن، از شعلهور شدن مجدد عفونت در آینده جلوگیری کنید، رعایت دقیق و دائمی مراقبت های بعد از ایمپلنت، شرط اصلی موفقیت است.
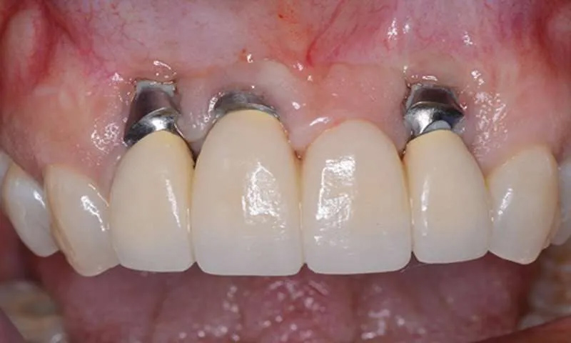
تشخیص عفونت ایمپلنت دندان
تشخیص دقیق و سریع عفونت، پیشنیاز انتخاب بهترین آنتی بیوتیک برای عفونت ایمپلنت و موفقیت درمان است. شناخت علائم اولیه و انجام اقدامات هدفمند میتواند از پیشرفت آسیب به بافت نرم و استخوان اطراف ایمپلنت جلوگیری و روند بهبودی را تسریع کند. متداولترین نشانههای وجود عفونت عبارتند از:
- قرمزی و تورم لثه اطراف ایمپلنت
- درد یا حساسیت هنگام لمس یا جویدن
- ترشح چرک یا خونابه
- بوی نامطبوع دهان
- تب خفیف و تورم غدد لنفاوی ناحیه فک
بررسی بهترین آنتی بیوتیک برای عفونت ایمپلنت
انتخاب بهترین آنتی بیوتیک برای عفونت ایمپلنت، مستلزم در نظر گرفتن نوع عفونت، یافتههای کشت میکروبی، وضعیت سیستمیک بیمار و حساسیتها به داروها است. به طور کلی، آنتیبیوتیکهای رایج در درمان عفونت ایمپلنت به شرح زیر هستند:
- آموکسیسیلین: این داروی پنیسیلینی، بهطور گسترده علیه باکتریهای گرم مثبت و گرم منفی فعالیت میکند و اولین انتخاب برای بسیاری از عفونتهای ایمپلنت است. آموکسیسیلین با نفوذ خوب به بافتهای لثه و استخوان، توانایی کنترل التهاب موضعی را دارد. معمولاً قبل از جراحی و با هدف پیشگیری، بهتر است یک ساعت قبل از ایمپلنت، این دارو با دوز ۲ گرم مصرف شود. برای درمان عفونت بالفعل، دوره ۷ تا ۱۰ روزه با دوز مناسب توصیه میشود.
- کلیندامایسین: در بیمارانی که به پنیسیلین یا سایر بتالکتامها حساسیت دارند، کلیندامایسین بهعنوان گزینه جایگزین توصیه میشود. این دارو، اثرات درمان موثری در مقابل باکتریهای گرم مثبت و برخی باکتریهای بیهوازی دارد و به درمان عفونتهای استخوانی و بافت نرم نیز کمک میکند. پزشکان اصولا مصرف ۳۰۰ میلیگرم در هر ۸ ساعت را تجویز میکنند.

- مترونیدازول: مترونیدازول، برای مقابله با باکتریهای بیهوازی تجویز میشود و اغلب در ترکیب با آموکسیسیلین یا سایر آنتیبیوتیکها برای درمان عفونتهای پیچیده ایمپلنت نیز مورد استفاده قرار میگیرد. این دارو، در کنترل التهاب عمیق بافت نرم و جلوگیری از انتشار عفونت به بافتهای مجاور بسیار کارآمد است. دوز معمول مصرفی آن نیز ۵۰۰ میلیگرم در هر ۸ ساعت و به مدت ۷ روز است.
- ترکیب آموکسیسیلین + مترونیدازول: این ترکیب، در عفونتهای شدید یا پیچیده قادر به مقابله با طیف وسیعی از باکتریهای گرم مثبت و بیهوازی است و اثربخشی بالایی دارد. استفاده از این درمان ترکیبی، برای بیماران مبتلا به تحلیل استخوان فک یا بیوفیلم فعال بسیار موثر است.
- سفتریاکسون / سفالوسپورینها: در عفونت وسیع یا برای بیماران با شرایط سیستمیک ضعیف، گاهی از سفتریاکسون یا سایر سفالوسپورینها بهصورت تزریق وریدی یا خوراکی استفاده میشود.
نکات مهم در انتخاب و مصرف آنتیبیوتیکها
لازمهی تجویز بهترین آنتی بیوتیک برای عفونت ایمپلنت و مصرف آن توجه به نکات زیر است:
- مشخص کردن نوع و شدت عفونت: قبل از تجویز، بررسی علائم بالینی، عکسهای رادیوگرافی و در صورت امکان کشت میکروبی ضروری است. انتخاب داروی مناسب بر اساس نوع باکتریها، احتمال موفقیت درمان را افزایش میدهد.
- رعایت دوز و مدت زمان درمان: مصرف دارو، باید مطابق دستور پزشک یا دندانپزشک متخصص باشد. کاهش یا افزایش خودسرانه دوز میتواند اثربخشی را کاهش دهد یا عوارض جانبی ایجاد کند.
- توجه به حساسیتهای دارویی و وضعیت سیستمیک بیمار: بیماران با حساسیت به پنیسیلین، مشکلات کبدی یا کلیوی نیازمند انتخاب آنتیبیوتیک جایگزین و تنظیم دقیق دوز هستند.
- ترکیب درمان دارویی و مراقبتهای موضعی: اثرات درمانی آنتیبیوتیکها، بدون پاکسازی کامل محل عفونت، کنترل پلاک و بهبود بهداشت دهان، کاهش مییابد.
- پیشگیری از مقاومت دارویی: استفاده آگاهانه و محدود آنتیبیوتیکها، پایش دقیق پاسخ بیمار و پرهیز از درمان خودسرانه، کلید کاهش خطر مقاومت باکتریایی است.
- نظارت و پیگیری درمان: حتی پس از بهبود علائم بالینی، پیگیری وضعیت ایمپلنت و ادامه مراقبتهای بهداشتی ضروری است تا احتمال عود عفونت کاهش یابد.

عوارض و خطرات مصرف خودسرانه آنتیبیوتیکها
مصرف خودسرانه آنتیبیوتیک بدون تشخیص دقیق و تعیین بهترین آنتی بیوتیک برای عفونت ایمپلنت، میتواند عواقب جدی و گاه خطرناکی برای سلامت دهان و بدن ایجاد کند. استفاده نادرست یا دوز نامناسب دارو، باعث ایجاد مقاومت باکتریایی میشود و درمانهای بعدی را دشوارتر و طولانیتر میکند. همچنین، ممکن است عفونت اصلی پیشرفت کرده و احتمال آسیب به بافت استخوان و نرم را افزایش دهد. علاوه بر این، مصرف خودسرانه میتواند با عوارض گوارشی مانند تهوع، اسهال و درد معده همراه باشد. در موارد شدید نیز میتواند باعث آسیب به کبد شود. حساسیتهای دارویی نیز از دیگر مشکلات رایج است و ممکن است منجر به کهیر، تورم یا حتی شوک آنافیلاکتیک شود. مصرف خودسرانه آنتیبیوتیک، اغلب اثر محدودی بر عفونت واقعی دارد و روند مراجعه به دندانپزشک و درمان تخصصی را به تأخیر میاندازد.
روشهای پیشگیری از عفونت ایمپلنت دندان
پیشگیری از عفونت ایمپلنت دندان، به اندازه درمان آن اهمیت دارد و یکی از عوامل کلیدی برای حفظ طول عمر پروتز و موفقیت درمان است. رعایت نکات بهداشتی زیر میتواند نیاز به مصرف مکرر بهترین آنتی بیوتیک برای عفونت ایمپلنت را کاهش دهد و از بروز مشکلات جدی جلوگیری کند.
- رعایت بهداشت دهان و دندان: تمیز نگه داشتن اطراف ایمپلنت و کنترل پلاک، نقش اساسی در جلوگیری از رشد باکتریها دارد. استفاده منظم از نخ دندان مخصوص ایمپلنت، برسهای بیندندانی و دهانشویههای ضد میکروبی به کاهش التهاب و پیشگیری از عفونت کمک میکند.
- انتخاب تکنیک جراحی و مواد مناسب: جراحی دقیق و استفاده از ایمپلنتهای با کیفیت بالا و همچنین بررسی دقیق وضعیت استخوان و بافت نرم، از ایجاد فشارهای غیرطبیعی و فضاهای مستعد رشد باکتری جلوگیری میکند و احتمال بروز عفونت را به حداقل میرساند.
- پیگیری منظم پس از کاشت ایمپلنت دیجیتال: معاینات دورهای و تصویربرداری، به تشخیص زودهنگام تغییرات یا نشانههای اولیه عفونت کمک کرده و امکان انجام اقدامات پیشگیرانه را فراهم میکند.
- اصلاح سبک زندگی و عادات شخصی: محدود کردن مصرف مواد غذایی چسبنده یا بسیار شیرین، ترک سیگار و حفظ سلامت عمومی سیستم ایمنی بدن، از رشد باکتریها و به تاخیر افتادن هیلینگ ایمپلنت دندان جلوگیری میکند.

سروکار داشتن با عفونت و مصرف داروهای قوی، گاهی میتواند خستهکننده باشد و شما را نسبت به کل پروسه ایمپلنت دچار تردید کند. اگر این چالشها باعث شده به گزینههای دیگر فکر کنید، شاید مطالعه یک مقایسه بیطرفانه درباره اینکه از نظر ریسک و ماندگاری، دندان چسبی بهتر است یا ایمپلنت، بتواند دید روشنتری به شما بدهد.
سوالات متداول:
نه همیشه؛ فقط اگر عفونت شدید باشد یا استخوان اطراف تحلیل رفته باشد. در موارد خفیف، با کنترل عفونت و رعایت بهداشت میتوان ایمپلنت را حفظ کرد.
درمان قطعی فقط توسط دندانپزشک ممکن است، اما برای حمایت از روند درمان میتوان:
– از آب نمک ولرم استفاده کرد.
– دهان را با کلرهگزیدین شستشو داد.
– تا زمان برگشت به دندانپزشک، مصرف آنتیبیوتیک تجویزشده را قطع نکرد.
وقتی باعث درد شدید، تورم زیاد، تب یا لق شدن ایمپلنت شود، احتمال انتشار عفونت به استخوان یا سینوس وجود دارد و باید فوری درمان شود.
خیر، فقط در صورت تأیید عفونت. مصرف خودسرانه آنتیبیوتیک میتواند باعث مقاومت دارویی شود. دندانپزشک بر اساس نوع و شدت عفونت تجویز میکند.